Laser Gingivectomy

Laser Gingivectomy

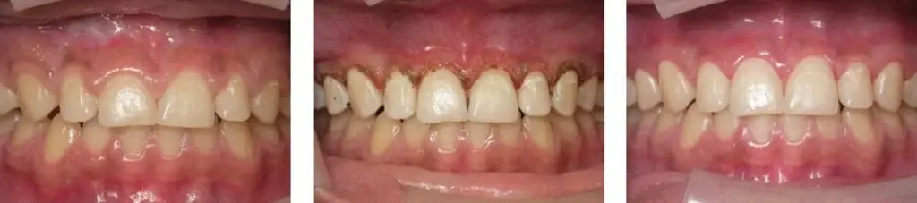
Laser Gingivectomy Procedure

Laser gingivectomy is a dental procedure in which the gingival tissue is recontoured or scalpeled to improve long-term dental health or aesthetics. Soft-tissue dental lasers, as opposed to traditional scalpels, can perform this procedure, providing a precise, stable, bloodless, often less painful, and accelerated healing experience.

We're With You
Every Step Of The Way.

Let us help you figure out the best path to your ideal smile!